Incrustații integral-ceramice (onlay) pe dinți fără tratamente de canal și plombe
Odontoterapie
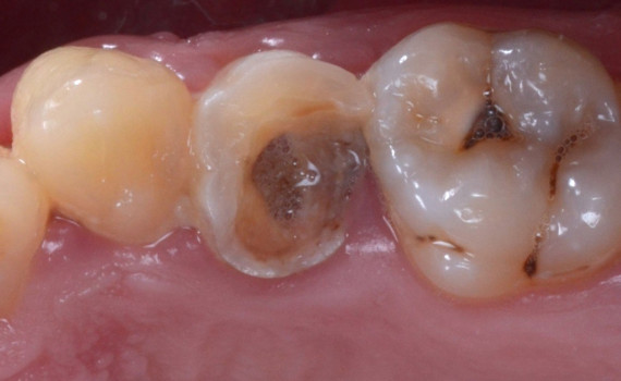
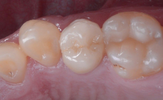
Mihaela a ajuns la noi cu plombe foarte vechi, uzate și cu discolorații, dar și cu o fațetă pe unul din dinții frontali, care nu arăta deloc bine. Colegii stomatologi i-au refăcut plombele vechi și fațeta.
Protejarea molarului cu incrustatie onlay.
Rezultatul final ne arată cât de importată e atenția la detalii și cât de mult poate să ne schimbe un singur dinte care nu este în armonie cu restul.
