Fațete integral-ceramice cu preaparație dentară
Protetică și estetică dentară
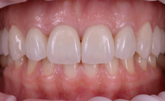
Fie că realizăm sau nu, starea dinţilor şi modul în care zâmbim ne afectează foarte mult viaţa de zi cu zi. Andreea avea coroane şi faţete vechi de peste 10 ani, care prezentau o uzură vizibilă şi o deranjau din punct de vedere estetic.
S-a recurs la înlocuirea acestora cu lucrări integral-ceramice noi, care i-au readus încrederea şi au ajutat-o să redevină sufletul petrecerii şi persoana care molipsea pe toată lumea cu zâmbetul ei.
