• Fatete dentare Timisoara - Dr. Baldea Dental Clinic
Pacienții noștri se bucură de cele mai calitative tratamente.
Locul I la Romanian Dental Awards 2023 - Reabilitare Orală Interdisciplinară.
Pentru ca nu realizăm tratamente care doar arată bine, protejam dantura existentă și ne asigurăm ca tratamentul este aliniat cu cele mai înalte standarde stomatologice.
Ce sunt fațetele dentare?

O soluție potrivită pentru un zâmbet natural, de lungă durată.
Fațetele dentare sunt piese protetice care refac funcția și estetica dinților, ca niște cochilii subțiri care îți acoperă dinții naturali.
Au grosimi care pot ajunge pana la 0.3 mm, iar grosimea lor este determinată de materialul folosit, culoarea dinților pe care este aplicată fațeta și culoarea finală pe care o dorești.
Ca materiale, fațetele pot fi integral ceramice, din zirconiu sau ceramică stratificată.
Fațetele dentare au un aspect natural, îți pot proteja dinții de deteriorarea ulterioară și îți pot oferi zâmbetul pe care îl dorești. Un Hollywood smile.

Când sunt fațetele dentare potrivite pentru tine.
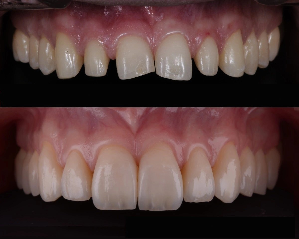
• Dinți măcinați, ciobiți sau crăpați.
• Dinți pătați sau dinți decolorați.
• Dinți neuniformi sau neregulați
• Spațiu prea mare între dinți (diastema - strungăreață)
Ce putem face pentru zâmbetul tău.
• Îndreptarea dinților nealiniați
• Albirea permanentă a dinților decolorați
• Îmbunătățim forma, alinierea și dimensiunea dinților
Trimite-ne o poză cu zâmbetul tău pe WhatsApp.
Spune-ne ce îți dorești și îți vom răspunde în cel mai scurt timp, cu ce tip de fațete dentare și tratament ți se potrivește din ce ne putem da seama.
Ține cont că ce îți transmitem este strict informativ, bazat doar pe o poză și nu reprezintă un plan de tratament întocmit după un consult complet.
Fațetele dentare pot fi cel mai rapid și mai ușor mod pentru îmbunătățirea zâmbetului. Pentru dinții mai deteriorați, îți pot fi recomandate coroanele dentare.
Când vine vorba de primele impresii, zâmbetul tău este unul dintre primele detalii pe care le observă cei din jur și, știm cu toții că prima impresie contează.

Programează-te și obține zâmbetul dorit!
Riscurile și avantajele fațetelor, proceduri, costuri, beneficii și ingrijire pe termen lung.
Descarcă AICI Ghidul complet al fațetelor dentare.
Ce informații vei găsi în ghid:
• Cum se aleg cele mai bune fațete dentare potrivite pentru nevoile tale.
• Pregătirea înainte de aplicarea fațetelor și etapele aplicarii fațetelor.
• Dezavantajele si beneficiile fatetelor dentare.
• Cât rezistă fațetele dentare; îngrijirea orală și cum să prelungești durata de viață a acestora.
• Opțiuni de plată și ce preț are o fațetă dentară.
• Greșeli ce pot fi ușor evitate de către pacienții cu fațete dentare.
Tipuri de fațete dentare și tratamente pe care le realizăm:
Fațete dentare no-prep (fără șlefuire)
Fațete dentare wax-up / mock-up
Acestea pot fi:
Fațete dentare integral ceramice ( fațete dentare Emax)
Fațete dentare din zirconiu
Vezi cazuri tratate de noi și pacienții fericiți.
Fatete dentare no-prep
Fatete dentare cu slefuire si mock-up
Fațete dentare fără preparare (no-prep)

Sunt suficient de subțiri pentru a se potrivi perfect peste fiecare dinte, FĂRĂ șlefuirea smalțului dentar.
Pacientul nu va fi nevoit sa poate fatete provizorii, până cele finale sunt gata.
Fatetele dentare fara preparatie, sunt ideale pentru pacienții cu probleme dentare minore.
Rapid și non-invaziv.
În general, nu necesita anestezie sau sedare. Sunt cazuri cand putem monta fațetelor no-prep în aceeași zi. Îți vom lua amprenta dentară, iar apoi fatetele vor fi create după forma dintilor tai. Cum nu necesita slefuire, întreaga intervenție durează mai puțin.
Dezavantaje ale fațetelor no-prep.
Problema principală este că Nu orice pacient este potrivit pentru fatetele no-prep.
Pentru că sunt foarte subțiri, e posibil sa nu acopere dinții decolorați sau petele dentare. Pentru alegerea fațetelor dentare potrivite, vom ține cont de dimensiunile dinților, alinierea și spațiul dintre dinți.
Intreaba medicul ce fatete ti se potrivesc.
Fațete dentare cu preparare

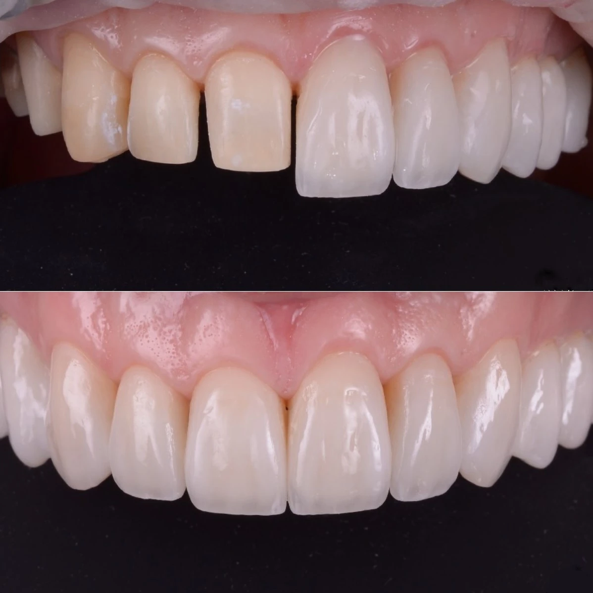
Dacă dinții sunt crăpați, deteriorați, pătați, aceștia sunt deseori candidații ideali pentru fațetele cu preparare. Fațetele aplicate după șlefuirea dinților au o grosime mai mare decat cele fără preparare.
Structura dinților naturali se modifică în funcție de nevoi înainte de aplicarea fațetelor.
Se șlefuiesc dinții pentru a permite fațetelor aplicarea corectă și un rezultat estetic și funcțional armonios.
Un zâmbet fără cusur care să dureze.
Mulajul, machetarea si simularea | Wax-up și Mock-up
Proiectul de ceară realizat de către tehnician ghidează întreg tratamentul protetic.
Apoi, pe copia danturii realizată dintr-un material compozit, testăm validitatea planului de tratament ales, estetic și funcțional, înainte de execuția finală. Se pot face oricând ajustări, pentru a nu avea surprize în ceea ce privește estetica dentara și stabilitatea fațetelor ca restaurări protetice.

Programează o consultație astăzi și află tot ce ai nevoie.
Sănătatea ta, deciziile tale!
Treaba noastră este să îți arătăm ce observam, sa îți spunem ce opțiuni ai și te vom lăsa să iei cele mai bune decizii pentru tine.
NU îți propunem tratamente care nu sunt necesare și întotdeauna îți vom oferi opțiuni.
